Implantes dentales

Sobre los implantes dentales

Los implantes dentales son la opción más segura y predecible para reemplazar
dientes perdidos. Funcionan como una raíz artificial que se integra al hueso
mediante un proceso llamado oseointegración. En mi práctica utilizo
exclusivamente sistemas Straumann®, compañía líder mundial en implantología,
reconocida por su investigación, precisión, biocompatibilidad y tasas de éxito
clínico.

Mi enfoque incluye un diagnóstico completo: evaluación ósea, análisis periodontal,
estudio de biotipo gingival y planeación digital cuando el caso lo requiere. Esto
permite obtener resultados más estables, funcionales y estéticos a largo plazo.
Trabajo con protocolos basados en evidencia científica y materiales de alta calidad
para garantizar que el implante se integre correctamente y soporte una prótesis fija
cómoda, funcional y natural.

Preguntas frecuentes – Implantes Dentales

Es un dispositivo médico de titanio que reemplaza la raíz de un diente perdido. Se integra
al hueso y permite colocar una corona fija totalmente funcional.

La mayoría de los pacientes reportan molestias leves y controlables. El
procedimiento se realiza bajo anestesia local con técnicas seguras.

En algunos pacientes el implante puede colocarse de forma inmediata, pero en la mayoría de los casos el proceso se realiza en dos fases, con un tiempo aproximado de 3 a 4 meses entre la colocación del implante y la rehabilitación protésica final.

Trabajo únicamente con Neodent Straumann®, compañía Suiza líder mundial en investigación y tecnología
implantológica.

La valoración inicial incluye  historia clínica, radiografías, tomografía y análisis
periodontal para determinar si el hueso y las encías están en condiciones ideales.

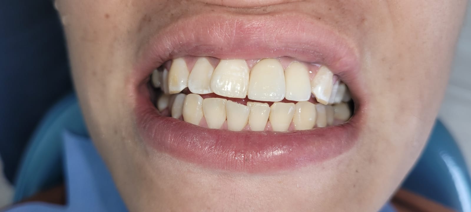
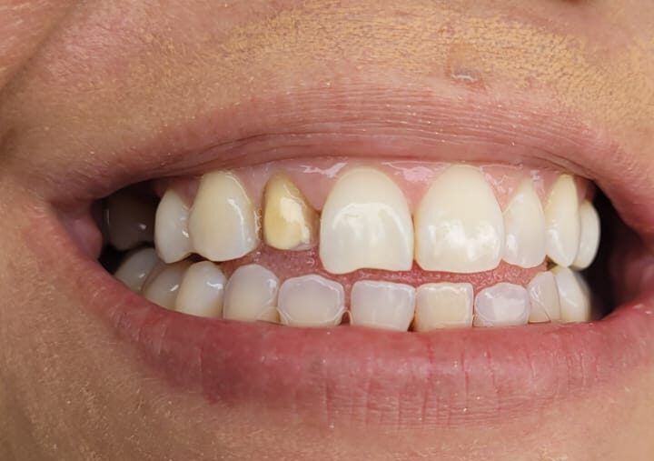
Rehabilitación oral integral con implantes dentales

Rehabilitación Oral Completa: Diagnóstico, Tratamiento y Resultado Final

Antes y despues:
Rehabilitación oral